< 24 h
Contractual guarantee
Other Labs
Speed is the standard, not the exception.
Every biopsy is delivered within 24 hours — contractually. Evening courier pickups feed overnight processing so your patients have answers by the next morning, not days later.
Learn more →No-surprise billing pledge
No Out of Network Bills
Other Labs
Your patients will never see a surprise bill.
We mirror your clinic's payer mix so patients are always in-network. One-click write-offs, flexible cosmetic billing, and every payment type supported.
How it works →Quality, Comprehensive, Definitive
No hedging, no ambiguity
Other Labs
Treatment should flow from the report.
SCOPE reports are definitive and actionable. No "clinical correlation advised," no hedging. Dr. Osman's evidence-based approach gives you exactly what you need to act in your patient's best interest.
See example reports →Advanced EMR Interface
Any EMR, no extra fees
Other Labs
EMR Integration
Custom HL7 interfaces for any EMR — Modmed, Epic, Athena, and more — built at no charge. Reports land directly in the chart the moment they're signed.
In-house DIF, Molecular & Digital
No send-outs needed
Other Labs
Advanced Testing
DIF, molecular testing, and digital pathology performed entirely in-house. No send-outs, no routing delays, no extra wait for specialty tests.
Daily courier pickups
Wherever you are
Other Labs
Specimen Pickup
Our daily courier network covers Indiana and the broader Midwest. Schedule a pickup and skip the post office — specimens arrive overnight, results by morning.
Fully customizable
Templates, margins & recs
Other Labs
Reports
Choose classic, image-rich, margin-focused, or a fully custom format. Your preferences are saved and applied automatically to every future case.
¹ Publicly available lab service guides, 2025.
Our streamlined process ensures your patients get results fast, improving satisfaction and clinical outcomes.
Under 24 Hours
Guaranteed Turnaround Time
Contractual commitment to speed and accuracy
Because frustrated patients call you, not the lab.
No Out of Network Bills
We continuously work to match your payer network. If a claim is denied, we absorb it. All insurances accepted — no out-of-pocket surprises, ever.
No unnecessary stains
We follow evidence-based, standard-of-care guidelines. We don't order stains that aren't clinically indicated — a habit that inflates bills at other labs.
Flat-rate self-pay
One low flat rate per specimen — regardless of additional tests/stains ordered — so self-pay patients always know their bill upfront. Dissatisfied patient? Our team resolves it in a single click.
Dr. Osman provides crisp, clear diagnoses that make it easy to know how to act in a patient's best interests. His availability, wealth of knowledge and kind manner make it easy to approach him when I have questions about a patient's diagnosis.
Comprehensive pathology services designed to deliver definitive diagnoses with a guaranteed 24-hour turnaround.
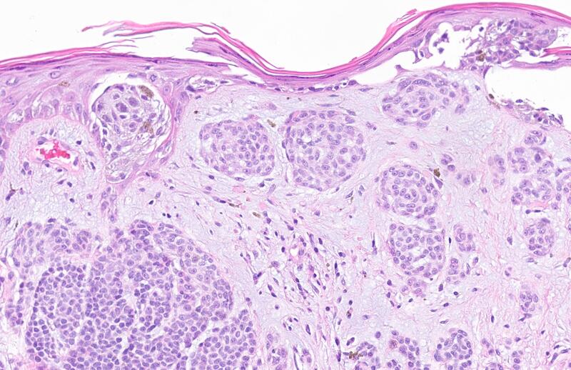
Expert microscopic examination of skin tissue serving dermatologists across Indiana and the Midwest with guaranteed 24-hour turnaround for routine cases.
Our team provides clear, actionable reports and direct pathologist access to support confident treatment decisions quickly.
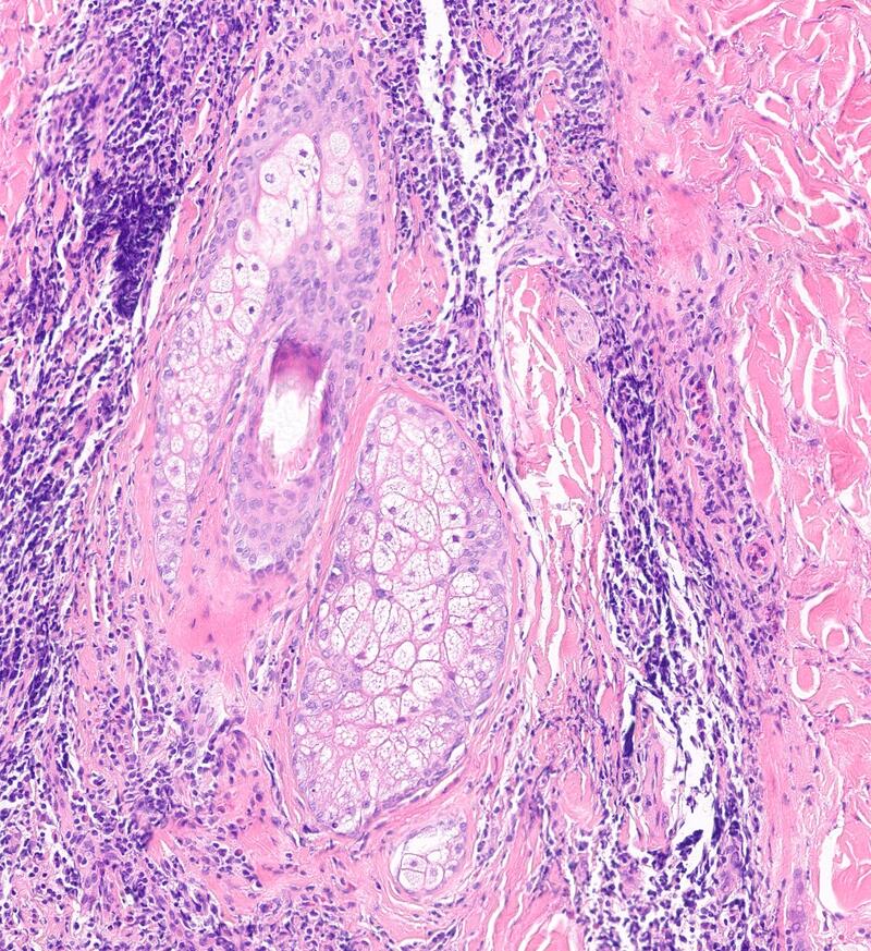
Melanoma & skin cancers
Inflammatory skin diseases
Autoimmune skin disorders
Nail & hair pathology
and more...
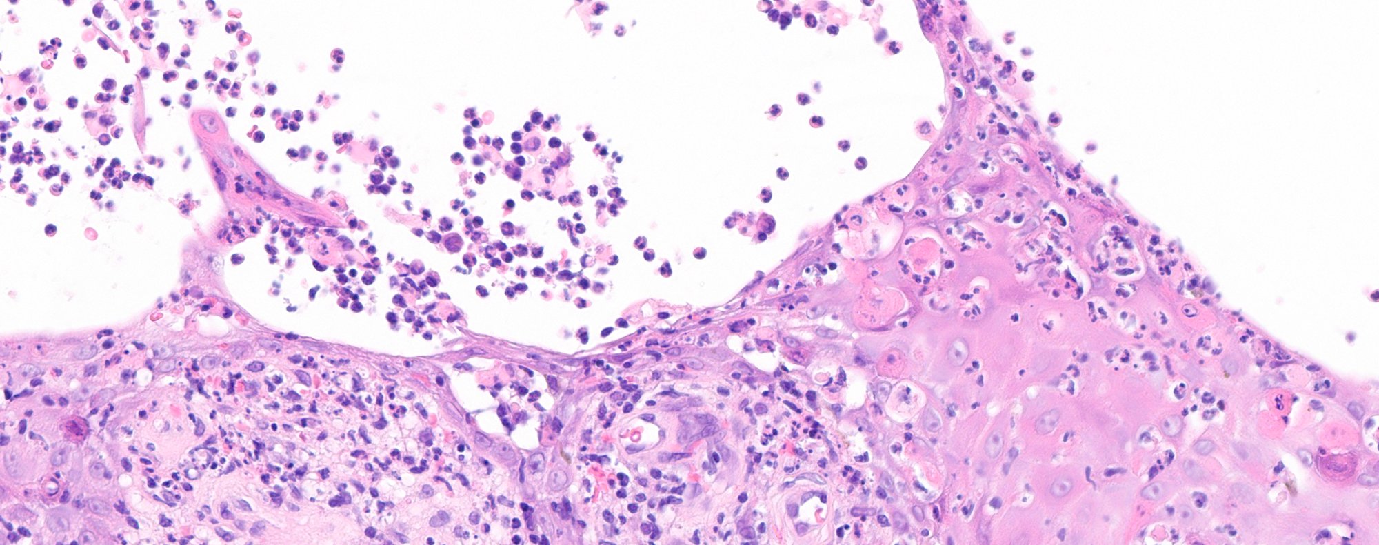
Rapid, definitive DIF for autoimmune and inflammatory skin diseases — results guaranteed within 24 hours.
Learn MoreOur cutting-edge Lab Information System with bidirectional EMR integration, live case tracking, an integrated digital slide viewer, and zero-fax workflows.
Learn MoreUltra-high-resolution whole slide imaging, cloud access, and advanced collaboration tools from anywhere.
Learn MoreJoin the growing number of practices switching to SCOPE Diagnostics for superior pathology services.